avatar

月月兔娘

4篇日记

机构
成都茁悦口腔(高新门诊)
暂无评分
39预约
医生
雷雪主治医师
暂无评分
擅长牙齿矫正, 牙齿美容, 牙齿治疗
评 分
机构环境:5.0 服务态度:5.0 项目效果:5.0 医生专业:5.0

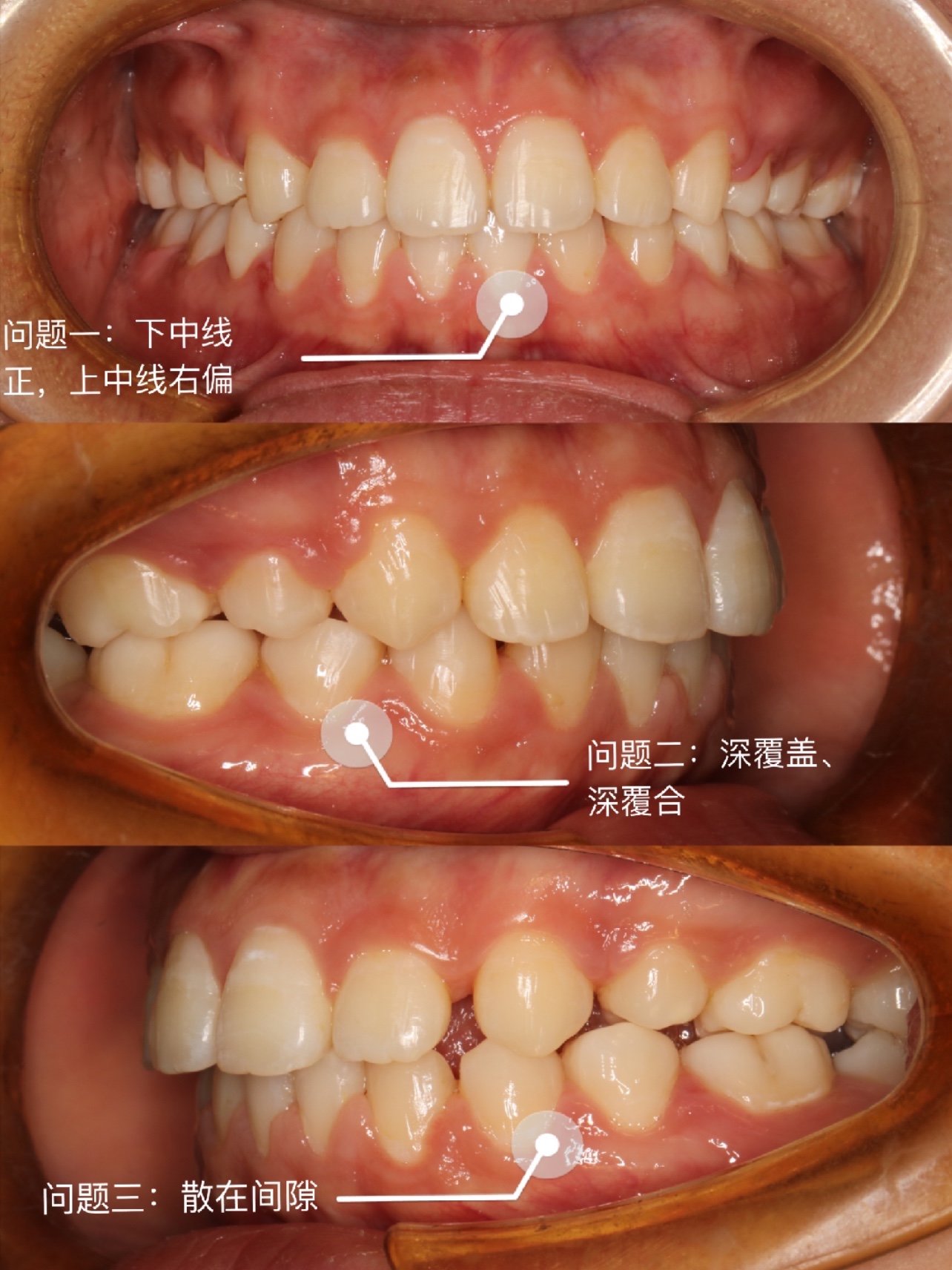
最开始只是因为牙齿有缝隙,想要矫正,检查后问题还是有点多,还有点深覆盖、深覆合,而且才知道我的牙齿下中线虽然是正的,但上中线右偏😂😂😂估计就有点歪嘴,真是越检查越多问题。
🥰关于医生和医院选择
好朋友在茁悦做了矫正,强烈推荐我来,我就来了。和好朋友选的同一个矫正医生,雷雪,兰州大学正畸硕士。很专业,又温柔。
🥰关于矫正器的选择
只考虑全隐形。听说现在全隐形牌子有200多种,很多人首选隐适美和时代天使。我选了另外一个进口品牌,价格比隐适美低10000左右,瑞士进口的,戴了一段时间感觉还不错。希望后期给力!

编辑于2021年3月16日

评论0条

走心的评论最有爱
相关推荐
收起
展开

推荐fue种植发际线

效果可持久性维持,存活后可生长出健康的新发

只要付出行动,愿意坚持,6个月可恢复

点击获取更多发量浓密的方法,送你一个价值¥238的小气泡

¥¥

戳!送价值¥238的超微小气泡~
  • 超微小气泡
  • 热玛吉5代
  • ¥500现金
  • 免费牙齿矫正
  • 超微小气泡
  • ¥1000现金
  • 机器人植发
  • 免费牙齿矫正

超微小气泡

恭喜获得¥88的超微小气泡一份!

专业医生提供免费方案
获取验证码30s)
获取详细方案
提交成功送价值¥238的超微小气泡一个~
*未注册的手机号将自动注册为新氧用户
注册代表同意《新氧用户使用协议》《隐私政策》
优选正规机构,为您提供免费咨询
玻尿酸垫下巴玻尿酸垫下巴 ¥700-900
请选择
请选择
获取验证码30s)
获取详细方案
提交成功送价值¥238的超微小气泡一个~
*未注册的手机号将自动注册为新氧用户
注册代表同意《新氧用户使用协议》《隐私政策》
选择方案
提交
通知相关机构,为您提供免费咨询服务
获取验证码30s)
获取折扣价
提交成功送价值¥238的超微小气泡一个~
*未注册的手机号将自动注册为新氧用户
注册代表同意《新氧用户使用协议》《隐私政策》
恭喜你抽中价值¥88的超微小气泡
还差最后一步,即可领取免费奖品哟
请选择
请选择
请选择
请选择
获取验证码30s)
立即领取
提交成功送价值¥238的超微小气泡一个~
*未注册的手机号将自动注册为新氧用户
注册代表同意《新氧用户使用协议》《隐私政策》

提交成功

已通知相关机构,稍后将与您联系~

提供免费咨询服务,请保持手机畅通

确定

提交成功

已通知相关机构,请保持手机畅通~

免费福利提领取成功!请在新氧APP点击“我的-优惠券-福利卡tab”使用吧

确定

提交成功

已通知相关机构,请保持手机畅通

太火爆了,免费福利领取失败,请联系人工客服400-181-6660

确定

提交成功

已通知相关机构,请保持手机畅通

您已经领取过此项福利~请在新氧APP点击“我的-优惠券-福利卡tab”使用吧

确定

提交失败

超过当日提交上限

确定

提交失败

您已提交过咨询申请,请耐心等待机构跟您联系~

确定