¥¥
易红
19篇日记
#牙贴面大揭秘#
本想一笑百媚生,奈何牙齿太黄。
牙齿美白受到越来越多人的追捧,其实想要牙齿白白亮亮的,只需要一个牙贴面就搞定。

关于牙贴面,第一次接触都会有许多的疑问,下面给大家粗略总结一下。
1. 什么是牙贴面?
牙贴面是将一种人工物质覆盖在牙齿上,用于改变牙齿的颜色、大小、形状,起到美牙的作用。
牙贴面效果最好最常见的材料是陶瓷,称为瓷贴面。

2. 牙齿贴面对牙齿有伤害吗?

牙齿贴面对牙齿是没有害的。
瓷贴面具有天然牙齿反光的特点,更强的通透性。
贴面与牙龈衔接的地方仅在唇侧,对牙龈刺激更少。
因为它超薄的特点,使得牙齿表面被磨除的部分很少,对牙齿的健康没有任何影响。
3. 牙贴面的优点?

①牙齿效果逼真。瓷贴面和健康自然牙齿十分类似,具有反光和透明的特点。
②对牙齿没有损伤。贴面仅有0.2mm,超薄几乎不会打磨牙齿。
③维持时间长。陶瓷材料几乎不会因为食物饮料的色素变色,通常使用时间达到10年以上。
④治疗时间短。从取模到戴上贴面,一般只需要一周的时间。
4.哪些牙齿可以做牙齿贴面?

牙贴面不是只有牙黄患者才可以选择:
① 牙齿变色:牙贴面可以遮盖牙齿上任意一处小污点,当牙齿变色过度,贴面会是一个不错的选择。
② 牙齿受损:有过度磨损的牙齿一点小意外都很有可能导致牙齿出现破损折断。贴面可以完美的恢复牙齿本来应有的形状。
③ 过小牙:牙齿明显太小,相邻牙齿之间有间隙,可用贴面让牙齿得到更好的形态。
④ 牙缝过大:对于牙齿有缝隙又不想通过矫正来进行关闭的人,可以选择用贴面。速度更快,更便捷。
5.牙贴面会不会有副作用?

牙齿贴面如果选用的是树脂贴面,会有一定的厚度,令嘴唇稍微变凸,对外表有一定影响。想要避免这个问题,建议选择更薄的瓷贴面,但是价格会偏高。
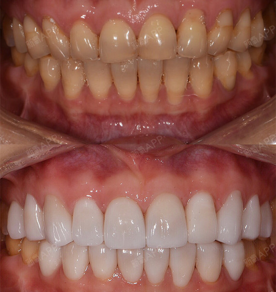
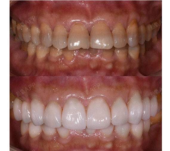
最后放两组真实的牙贴面效果图:


如果对牙贴面有想法的小伙伴,建议做的时候不要选择最白最亮的颜色。记住以自然为主,做出来更有真实感哟~
评论25条
我很嫌弃自己的大黄牙
贴面会不会烂啊
牙齿会疼吗
贴面做上牙齿会不好不舒服
但是为啥贴面那么贵啊
就想牙齿好看一点
有价格吗,听说很贵
要是想取咋办,
请问你是医生吗
想知道这个会不会掉
我喜欢这个项目
第一次接触这个,感觉不错
我怕做不到那么好的效果
想做这个,但是好像没有很大的必要😂
是按照一颗一颗收费吗
牙齿会疼吗
贴面做上牙齿会不好不舒服
但是为啥贴面那么贵啊
就想牙齿好看一点
有价格吗,听说很贵
要是想取咋办,
请问你是医生吗
想知道这个会不会掉
我喜欢这个项目
第一次接触这个,感觉不错
我怕做不到那么好的效果
想做这个,但是好像没有很大的必要😂
是按照一颗一颗收费吗